LES PLUS LUS
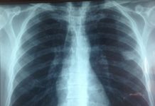
Les microplastiques atteignent les poumons
Omniprésents dans l’environnement, les microplastiques pénètrent dans notre organisme jusque dans le sang et dans les poumons.
Salmonelles, listeria, et autres bactéries, risques permanents
En l’espace de quinze jours, trois affaires de contamination alimentaire, pizzas surgelées, Kinder Surprise, et fromages porteurs de listeria, ont défrayé la chronique. Des dossiers liés aux salmonelles, listeria et autres bactéries qui posent la question de la sécurité des consommateurs.
BOOKS
Plaidoyer en faveur de la viande
Ingénieure agronome, docteure en sciences animales,Marie-Pierre Ellies-Oury livre un plaidoyer clair et d’une grande efficacité en faveur des aliments carnés.
INVITÉ
La fermentation, clef d’une cuisine vivante et inventive
La fermentation au quotidien. Le goût du vivant & des recettes vivantes. Voici un ouvrage de cuisine qui met en scène une belle union, celle des produits fermentés (connus pour leurs bienfaits pour la santé), et d'une cuisine inventive et parfumée, tendance asiatique.
PARTENARIATS
Klamath bio de Dynveo
On peut trouver diverses marques de Klamath sur le marché. Mais seuls quelques producteurs se sont spécialisés sur la Klamath Bio. La Klamath Bio de Dynveo est doublement certifié par OTCO (Oregon Tilth Certified Organic) et Bio en Europe/France.
BONNES ADRESSES
Fromagerie Les Trois Jean à Lyon
Une bonne adresse de fromager à Lyon : Les Trois Jean (métro Jean Macé)
84 Avenue Jean Jaurès, Lyon 7ème
Ce fromager affineur a fait ses...
SANTÉ
Une ordonnance verte pour protéger les femmes enceintes
Les ordonnances vertes ? Une initiative de la mairie de Strasbourg reprise dans toute la France pour protéger les femmes enceintes des risques des perturbateurs endocriniens.
Se libérer du cortisol
Cortisol, l'hormone du stress. Mélanie Duféey nous donne 20 clefs pour se libérer de son emprise.
Hexane, le neurotoxique tueur de cerveau
es articles scientifiques et les rapports se multiplient pour dénoncer la responsabilité de l’hexane, solvant issu du pétrole, neurotoxique pour le cerveau.
ENVIRONNEMENT
L’Europe mise sur l’agriculture bio et durable
L’Union européenne oriente la Politique Agricole Commune (PAC) sur le bio et le développement durable dans les années à venir. Les lobbies de l’agro-chimie vont tenter de freiner cette reconversion.
QUALITÉ
Sylvie Hampikian, les nouveaux aliments
Découvrir les "nouveaux aliments" liés au bio et à la diversité alimentaire.
Sylvie Hampikian, co-auteur avec Frédérique Chartrand de Le grand dico de la cuisine...
FOOD
La tomate
Aujourd’hui, la tomate de serre se taille la part belle du marché. Le consommateur le paye sur le plan gustatif, mais il y gagne...
Le soja
Plante sacrée en Asie, rivale de la viande et du lait en Occident, complément alimentaire… le soja est une plante vedette. Mais ses incidences...
Le sucre
Comme tous les glucides, le sucre ou saccharose, est un véritable carburant pour l’organisme.
Transformé en glucose, il passe dans le sang, alimente les muscles...
Agrumes
Avant ou après récolte, les agrumes sont abondamment traités chimiquement pour lutter contre les maladies et les insectes. Reste de splendides performances en matière...
La truite
Après le saumon, le lieu et le cabillaud, la truite est l’un des poissons préférés des Français. Protégée et interdite à la vente, la...

















































